ΟΔΟΝΤΙΑΤΡΙΚΗ ΚΛΙΝΙΚΗ ΜΙΚΡΩΝ ΖΩΩΝ ΝΕΑ ΙΩΝΙΑ

VetDent

Κτηνιατρική οδοντιατρική, στοματολογία, ογκολογία και γναθοπροσωπική χειρουργική

koritsi zografizei

Στην οδοντιατρική κλινική μικρών ζώων VetDent, με έδρα τη Νέα Ιωνία, μας ενδιαφέρει η καλή στοματική υγεία των τετράποδων φίλων μας.

 

Οι παθήσεις των δοντιών και της στοματικής κοιλότητας μπορούν να είναι ιδιαίτερα επώδυνες, ενώ τις περισσότερες φορές τα κατοικίδιά μας υποφέρουν σιωπηλά. Αυτό έχει ως αποτέλεσμα το κακό βιοτικό επίπεδο»

Το ιατρείο μας είναι άρτια εξοπλισμένο ώστε να μπορούμε να αντιμετωπίσουμε κάθε περιστατικό που αφορά την οδοντιατρική, τη στοματολογία, την ογκολογία και τη γναθοπροσωπική χειρουργική των σκύλων, των γατών, των τρωκτικών και των λαγόμορφων.

ΒΙΟΓΡΑΦΙΚΟ

Βιογραφικό της Κτηνιάτρου - Οδοντιάτρου Μαρίας Κούκη

Αποφοίτησα από το Τμήμα Κτηνιατρικής του Πανεπιστημίου Θεσσαλίας το 2008. Συνέχισα τις σπουδές μου στο Τμήμα Κτηνιατρικής του Αριστοτελείου Πανεπιστημίου Θεσσαλονίκης, από όπου αρχικά αποφοίτησα από το διετές (2008-2010) μεταπτυχιακό (MSc) με ειδίκευση στη Χειρουργική Ζώων Συντροφιάς, και στη συνέχεια αναγορεύτηκα διδάκτορας Οδοντιατρικής Ζώων Συντροφιάς (2015-2018).

 

Από το 2013 έως το 2018 συμμετείχα ως άμισθος επιστημονικός συνεργάτης στις καθημερινές δραστηριότητες της μονάδας Χειρουργικής - Μαιευτικής της Κλινικής Ζώων Συντροφιάς του Τμήματος Κτηνιατρικής του Α.Π.Θ., ενώ από το 2019 ως το 2021 δίδαξα το μάθημα Οδοντιατρική και Γναθοπροσωπική Χειρουργική Ζώων Συντροφιάς, σε προπτυχιακούς και μεταπτυχιακούς φοιτητές.

 

Από το 2019 έως το 2024 εργαζόμουν ως επιστημονική σύμβουλος στην εταιρεία PLiN Nanotechnology.

Παράλληλα με τις μεταπτυχιακές σπουδές μου, εργάζομαι από το 2008 ως ελεύθερη επαγγελματίας, με αποκλειστική ενασχόληση τη χειρουργική μαλακών ιστών, την οδοντιατρική και τη γναθοπροσωπική χειρουργική.

Το βιογραφικό μου περιλαμβάνει τη συγγραφή σημαντικού αριθμού επιστημονικών εργασιών σε ελληνικά και ξένα επιστημονικά περιοδικά, ενώ έχω συμμετάσχει ως ομιλήτρια τόσο σε ελληνικά όσο και σε ευρωπαϊκά επιστημονικά συνέδρια.

 

Επιπλέον, έχω συμμετάσχει σε πολυάριθμα σεμινάρια διαρκούς εκπαίδευσης που έχουν διοργανώσει ιδιωτικοί φορείς. Το επιστημονικό μου ενδιαφέρον δε σταματά εδώ, αφού συμμετέχω ως Review Editor στο περιοδικό “Frontiers in Veterinary Dentistry and Oromaxillofacial Surgery” και είμαι μέλος της συντακτικής επιτροπής του περιοδικού “Ιατρική Ζώων Συντροφιάς” της Ελληνικής Εταιρίας Κτηνιατρικής Ζώων Συντροφιάς.

 

Το 2022 ίδρυσα στην Καλογρέζα Νέας Ιωνίας το πρώτο ιατρείο της χώρας που ασχολείται αποκλειστικά με την οδοντιατρική και τη χειρουργική του στόματος των ζώων συντροφιάς.

H Dr. Μαρία Κούκη έχει αναλάβει δράσεις όπως:

 

  • Συγγραφή σημαντικού αριθμού επιστημονικών εργασιών σε ελληνικά και ξένα επιστημονικά περιοδικά
  • Συμμετοχή ως ομιλήτρια, τόσο σε ελληνικά όσο και σε ευρωπαϊκά επιστημονικά συνέδρια
  • Συμμετοχή σε πολυάριθμα σεμινάρια διαρκούς εκπαίδευσης που έχουν διοργανώσει ιδιωτικοί φορείς

 

.

 

 

  • Ενεργή συμμετοχή ως Review editor στο περιοδικό «Frontiers in Veterinary Dentistry and Oromaxillofacial Surgery»
  • Ενεργό μέλος της συντακτικής επιτροπής του περιοδικού «Ιατρική Ζώων Συντροφιάς» της Ελληνικής Εταιρίας Κτηνιατρικής Ζώων Συντροφιάς

ΥΠΗΡΕΣΙΕΣ

Στη VetDent, αναλαμβάνουμε την οδοντιατρική φροντίδα των μικρών ζώων συντροφιάς. Ο χώρος μας είναι άρτια εξοπλισμένος, ώστε να μπορούμε να αντιμετωπίσουμε κάθε περιστατικό που αφορά την οδοντιατρική, τη στοματολογία, την ογκολογία και τη γναθοπροσωπική χειρουργική των σκύλων, των γατών, των τρωκτικών και των λαγόμορφων.

 

Πιο συγκεκριμένα, στην οδοντιατρική κλινική VetDent παρέχουμε:

  • Λεπτομερή εξέταση των δοντιών και της στοματικής κοιλότητας
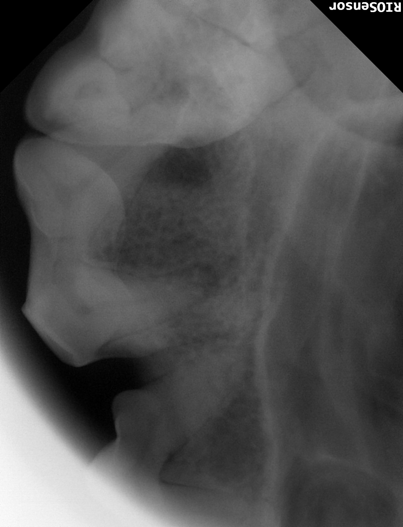
  • Ψηφιακά ενδοστοματικά ακτινογραφήματα.

Παράλληλα, αντιμετωπίζουμε περιστατικά:

  • Περιοδοντικής νόσου
  • Στοματικής και γναθοπροσωπικής χειρουργικής (π.χ. κατάγματα, νεοπλασίες, ελλείμματα υπερώας)
  • Ενδοδοντικής νόσου (απονεύρωση) και αποκατάστασης (σφραγίσματα, θήκες)
  • Ορθοδοντικής θεραπείας και παραμένοντων νεογιλών δοντιών
  • Φλεγμονωδών παθήσεων της στοματικής κοιλότητας (π.χ. στοματίτιδα της γάτας)
  • Οδοντικών παθήσεων τρωκτικών και λαγόμορφων

Βρισκόμαστε την διάθεσή σας, για να αναλύσουμε οποιοδήποτε περιστατικό, απευθείας, με ραντεβού στο οδοντιατρείο μας.

logo

Επικοινωνία

Διεύθυνση: Κασταμονής 52Α, Καλογρέζα, Νέα Ιωνία, 142 34

 

Τηλέφωνο επικοινωνίας: 2117502959 | 6936636265

Για την καλύτερη εξυπηρέτησή σας, στη VetDent εξετάζουμε με ραντεβού

 

Email: vet_dent.gr@yahoo.com

 

hCaptcha